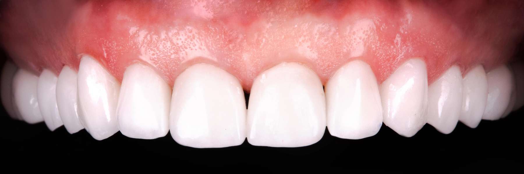
Dental veneers, typically made of porcelain, are a popular cosmetic treatment used to improve the appearance of teeth. Like any dental procedure, they have both advantages and disadvantages to consider:
Pros of Dental Veneers:
-
Significant Cosmetic Improvement: Veneers can instantly fix a variety of issues, including deep stains/discoloration, chips, cracks, minor gaps, and misshapen or worn teeth, resulting in a whiter, more uniform, and natural-looking smile.
-
Natural Appearance: Especially porcelain veneers are custom-made to match the color and contour of your natural teeth and have light-reflecting qualities similar to real tooth enamel, making them virtually indistinguishable from natural teeth.
-
Durability and Longevity: Porcelain veneers are very durable and can last 10 to 15 years, or even longer with proper care.
-
Stain Resistance: Porcelain veneers are highly resistant to permanent staining from coffee, tea, wine, and tobacco.
-
Minimally Invasive (Compared to Crowns): The procedure for veneers usually requires the removal of only a small amount of tooth enamel from the front surface, which is less than what is needed for a full dental crown. However, teeth sometimes need no preparation at all in some occasions.
-
Easy Maintenance: Veneers require the same care as natural teeth—regular brushing, flossing, and dental check-ups.
Cons of Dental Veneers:
-
Cost: Veneers are generally considered a cosmetic procedure, so they are often not covered by dental insurance.
-
Potential for Sensitivity: After tooth preparation, you may experience temporary increased sensitivity to hot and cold temperatures, as some enamel is removed.
-
Risk of Damage: While durable, veneers are not indestructible and can chip, crack, or fracture, especially if you grind or clench your teeth (bruxism) or bite hard objects. A damaged veneer usually cannot be repaired and must be replaced.
-
Color consistency: Once placed, veneers cannot be whitened. If you only get veneers on some teeth, and your natural teeth eventually stain or darken, there may be a noticeable color difference.
It is highly recommended to have a thorough consultation with a qualified cosmetic dentist to determine if you are a good candidate for veneers and to discuss your specific goals and potential risks.
