Pros & Cons Of Placing Dental Veneers
Dental veneers, typically made of porcelain, are a popular cosmetic treatment used to improve the appearance of teeth. Like any dental procedure, they have both advantages and disadvantages to consider:
Pros of Dental Veneers:
-
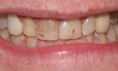
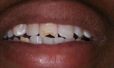
Significant Cosmetic Improvement: Veneers can instantly fix a variety of issues, including deep stains/discoloration, chips, cracks, minor gaps, and misshapen or worn teeth, resulting in a whiter, more uniform, and natural-looking smile.
-
Natural Appearance: Especially porcelain veneers are custom-made to match the color and contour of your natural teeth and have light-reflecting qualities similar to real tooth enamel, making ...

At Smiles Art Dentistry, we know how important a confident smile is in making first impressions and meaningful connections. From simple teeth whitening to comprehensive makeovers, Dr. Shawki Abed combines art and science to bring out the best in your smile.
Whether you choose a single service or a combination, we'll work hard to make sure the results exceed your expectations: