Smiles Art Dentistry
Shawki Abed, BDS MSc
Home
About
Our Team
Technology
Practice Photos
Services
View All
General Dentistry
Cosmetic Dentistry
Dental Implants
Root Canal Treatment
Emergency Dentistry
Composite Fillings
Porcelain Veneers
Tooth Extractions
Invisalign® Clear Aligners
Crowns and Bridges
Digital Smile Design
Smile Gallery
Patient Info
View Patient Info
Testimonials
Forms
Financial
FAQs
Blog
Contact
Smiles Art Dentistry
Shawki Abed, BDS MSc
Book Online
Like us on Facebook
Leave a Google Review
Instagram
(713) 266-2265
Smiles Art Dentistry
Patient Portal
PAY ONLINE
Smiles Art Dentistry
>
Smile Gallery
>
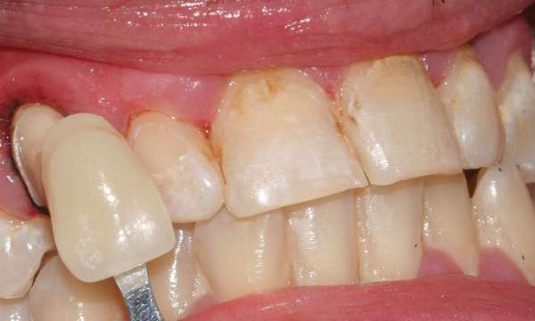
Cosmetic fillings and crown
Cosmetic fillings and crown
Return to Smile Gallery
Previous
Right canine being crowned and few tooth colored fillings with very minimum tooth preparation.
Click image to see a larger picture
Before
After
Ready to book an appointment?
Contact Us
If you have difficulty using our website, please
email us
or call us at
(713) 266-2265
View the
ADA Accessibility Statement
Turn on ADA Views
Privacy Policy
OK!
×
×
Contact Us Today
Give Us A Call
Smiles Art Dentistry -
(713) 266-2265
Send Us an Email
Book Online
Contact Us
Ready to Schedule an Appointment?
Book Online
Have Questions? Contact Us:
Required Field
Your Name:
Phone:
Email:
Are you a new patient?:
Are you a?
New Patient
Current Patient
How would you like us to contact you?
Please choose
Email
Call
How did you hear about us?
Please choose
I'm an existing patient
Google/Bing
Mailer
Word of mouth
Social media
Other
Who Referred You?:
Appointment Preferences
Monday
Tuesday
Wednesday
Thursday
Your Message:
This site is protected by reCAPTCHA and the Google
Privacy Policy
and
Terms of Service
apply.
Sending...
×
This Patient's Experience
Loading Testimonial...
Loading Case...